Ir para o conteúdo LABHISTO Ir para o menu LABHISTO Ir para a busca no site LABHISTO Ir para o rodapé LABHISTO
  • International
  • Acessibilidade
  • Sítios da UFSM
  • Área restrita

Aviso de Conectividade Saber Mais

Início do conteúdo

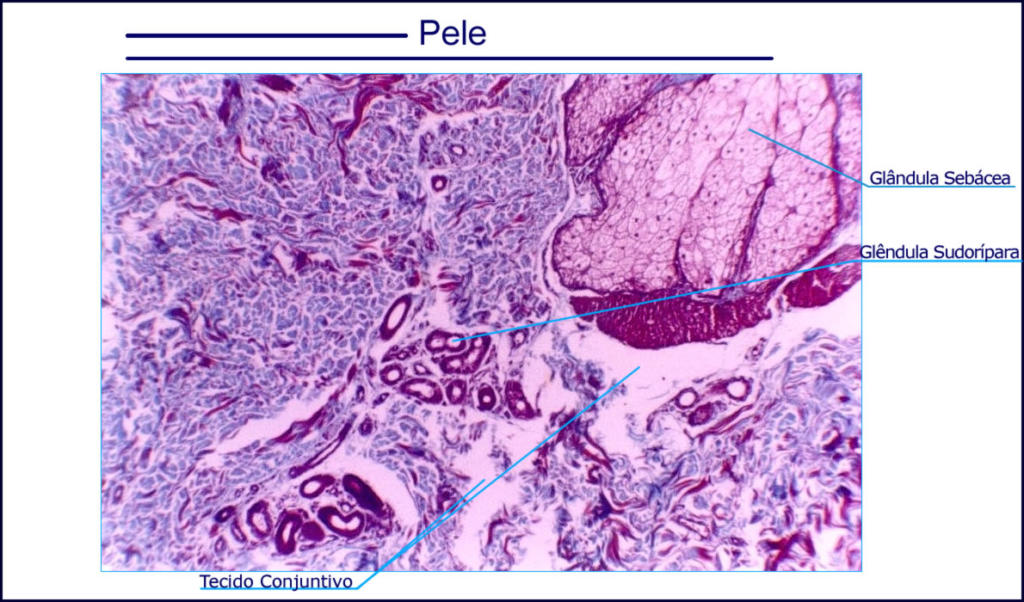
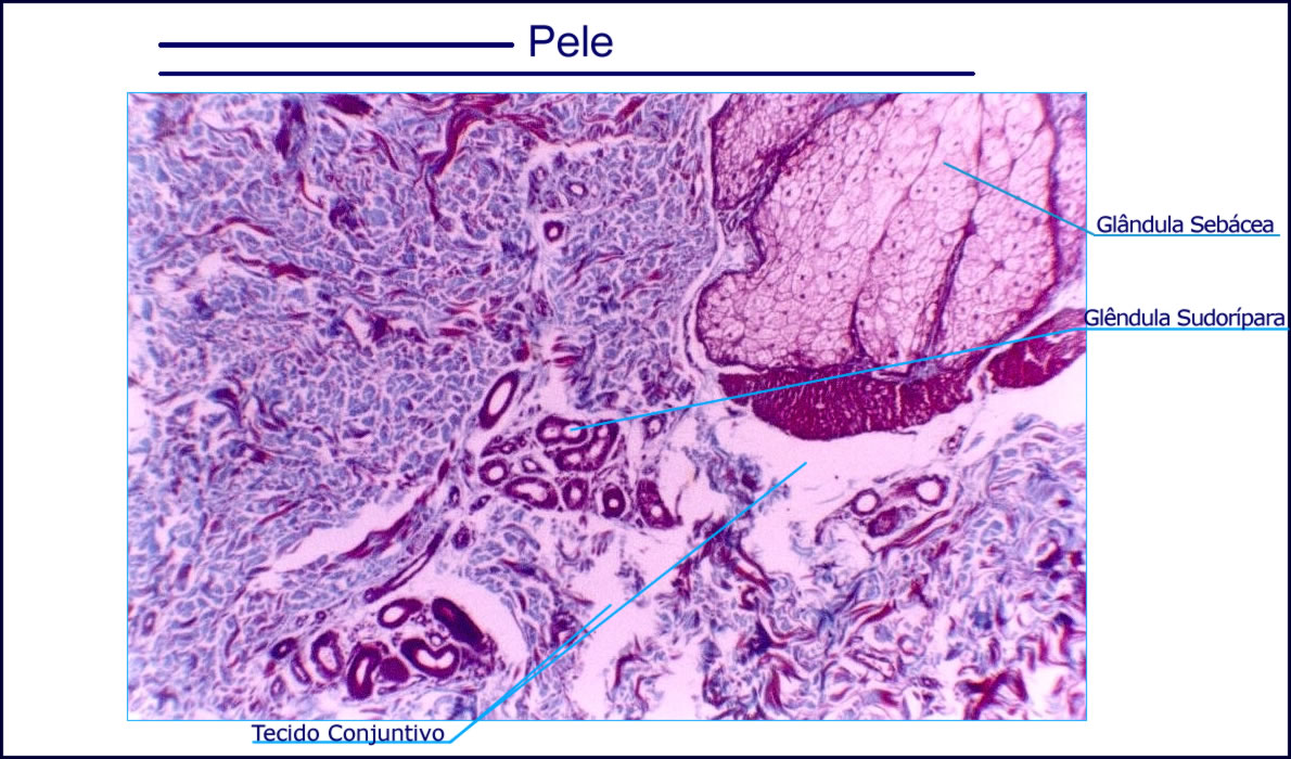
Atlas virtual de histologia