Ir para o conteúdo HVU Ir para o menu HVU Ir para a busca no site HVU Ir para o rodapé HVU
  • International
  • Acessibilidade
  • Sítios da UFSM
  • Área restrita

Aviso de Conectividade Saber Mais

Início do conteúdo

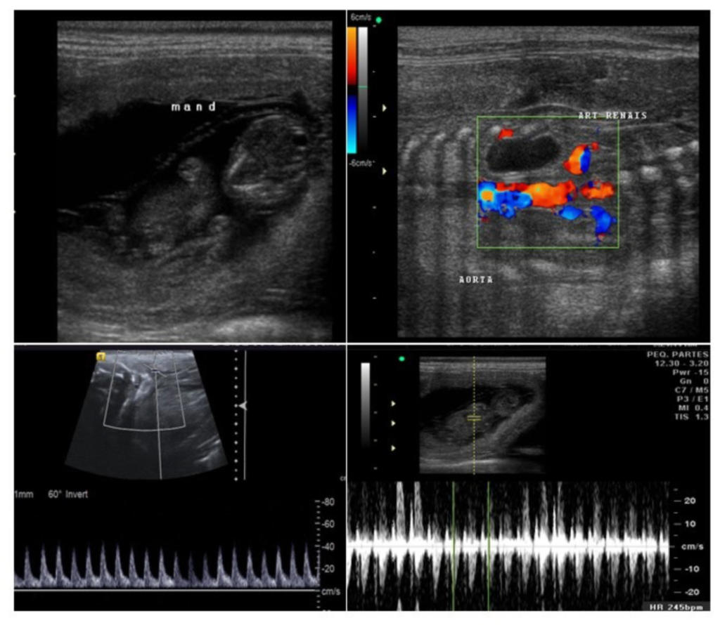
Novo exame disponível de ultrassonografia pré-natal para cadelas e gatas



O Setor de Imagem do HVU iniciou a realização de exames externos de ultrassonografia gestacional em cadelas e gatas. Os exames ocorrem às quartas-feiras, das 8h 30min às 11h, conforme disponibilidade de agendamento.

O exame pode ser solicitado diretamente no Setor de Imagem ou pelo telefone 3220-8813.

Na ocasião do primeiro exame, é necessário realizar cadastro na recepção do Hospital Veterinário. Este acompanhamento pré-natal inclui 3 exames.

O Pré-natal é importante porque:

  • Nele pode ser feito diagnóstico gestacional precoce ou tardio,
  • Acompanhamento garante a saúde da mãe e dos filhotes,
  • É possível determinar/prever a data do parto,
  • Através do exame pode-se identificar anormalidades.

Imagem cedida pelo Setor de Imagem do HVU

Divulgue este conteúdo:
https://ufsm.br/r-401-206

Publicações Recentes